Les secrets de l'orthodontie dévoilés

Un mode de vie sain et un brossage quotidien sont de mise pour avoir de belles dents. Néanmoins, malgré les bonnes habitudes, certaines personnes peinent à l'obtenir, en raison de déformations ou de malformations. Heureusement, il existe une solution au problème : le recours à l'orthodontiste. Quelles sont alors les voies de recours qui s'offrent aux patients ?

                   La mission de l’orthodontiste

Sachez qu'il existe, face à la longue liste « d'anomalies du sourire », plusieurs procédés correctifs dont seul l’orthodontiste a l’apanage. De fait entre l'avancement des dents chez les jeunes enfants, et leurs chevauchements chez les adultes, ces irrégularités ont un impact direct, aussi bien sur la santé des gencives que sur certaines fonctions liées comme la phonation ou l’alimentation. Le travail du technicien dentaire consistera alors, entre autres techniques, en un alignement dentaire et maxillaire, tout en harmonisant la denture.

                   Quelles sont les approches de l’orthodontiste ?

Les modifications apportées par l’orthodontiste sont d’abord préventives, surtout pour les enfants en pleine croissance osseuse et dentaire. De ce fait, l'obtention d'une belle dentition passe par une détection précoce de toute déviation : le développement anormal de la mâchoire ou du palais, les déformations accidentelles ou encore la rotation des dents... De là, un parterre de choix de traitements, invasifs ou non, cette fois-ci, sera mis en œuvre.

Le traitement d’une dentition ayant atteint sa structure définitive, comme chez les grands adolescents et les adultes, est un peu plus délicat. En effet, pour l’adulte, le soin passe le plus souvent par des opérations prothétiques, des chirurgies, mais aussi des alignements dentaires. D’autres types de travail de correction sont aussi d’usage chez les orthodontistes, à l'instar du traitement des troubles de prononciation (généralement du ressort de l’orthophoniste).

Au final, un mal pour un bien puisqu'un sourire éclatant et une parfaite élocution seront au rendez-vous !

                   Les moyens à la disposition de l’orthodontiste

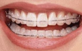
Outre la durée de traitement qui peut s'avérer variable selon le patient et la gravité de ses maux, les méthodes orthodontiques sont aussi diversifiées. Par ailleurs, en dehors de la chirurgie, les appareils dentaires constituent les outils phares de ces artisans dentaires. Ce n'est pas tout, car les dispositifs appliqués sont généralement en résine et peuvent être amovibles, du moins pour pallier les problèmes superficiels ou sollicitant peu de modifications. Néanmoins, ils peuvent aussi être portés sur le long terme, pour rectifier la position des dents par exemple. Dans cette hypothèse, les spécialistes utilisent les attaches métalliques et céramiques, ou encore les appareils linguaux qui sont fixés sur la surface interne des dents.

 

Par-delà l’efficacité de ces systèmes de réajustements dentaires, une alimentation saine et un brossage régulier (soit 3 fois par jour) sont gages de leur efficacité.

Commentaires (0)

Aucun commentaire pour le moment
Produit ajouté à la liste de souhaits
Product added to compare.